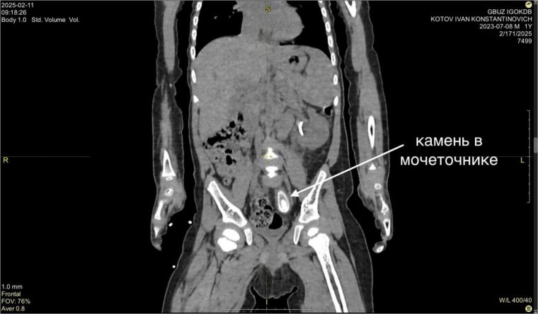
Камень в 3 см удалили из мочеточника маленького жителя Усть-Кута

Сложную операцию провел знаменитый на весь мир иркутский хирург, главный врач Иркутской областной детской клинической больницы Юрий Козлов.

post-22771 thumbnail
  • 12:05
  • 27.03.2025
  • ОбществоУсть-Кут
  • 0
  • 681

Первые признаки заболевания жительница Усть-Кута обнаружила у сына Вани еще в декабре прошлого года. На обследовании в Иркутске поставили диагноз — большой камень в нижней трети левого мочеточника размером около 3 на 1,5 см и вызванный им блок почки.

Размер камня удивил медиков — это нетипично для таких маленьких пациентов.

— Попытка внутрипросветного лечения была безуспешна — устье мочеточника не пропускало даже самую маленькую оптическую систему цистоскопа. После месяца непростого лечения с использованием нескольких антибиотиков была выполнена операция с применением нашего излюбленного подхода без разрезов — лапароскопии, — рассказывает Юрий Козлов.

Операция прошла успешно, и сегодня Ваня чувствует себя прекрасно.

Администрация УКМО

Данное сообщение (материал) создано и (или) распространено некоммерческими организациями и (или) средствами массовой информации, требующими полной отмены законодательства об иностранных агентах

Вы сможете добавить комментарий после авторизации

Присоединяйтесь! Мы в социальных сетях:

Вам также может быть интересно:

post-34992 thumbnail

#Топ новостьУсть-КутЭкология

Химический запах в Усть-Куте теперь навсегда?

Неприятный запах химии в городе, все чаще появляется в различных микрорайонах города, особенно вдоль реки Вопросов касающихся экологии в городе и которые интересуют устькутян, все больше, но ответов на них нет и власти предпочитают делать вид, что ничего не происходит. Жалобы на химический запах, особенно по утрам и в жилом секторе в низине вдоль реки, все чаще обсуждается городских пабликах. Все согласны с тем, что этот запах может быть небезопасен не только аллергикам, но и абсолютно всем. Мы по этому поводу проводили опрос у себя в канали и больше половины респондентов уверены, что этом неприятный химических запах, вреден для здоровья. Правда в обсуждениях нашлись и те, кто так яростно защищал ИЗП, что они в конце концов договорились до того, что этот запах может быть даже полезен людям. Тем не менее, и если подойти к теме без шуток, то безобидный и просто неприятный запах меркаптана, регулярные утечки которого были при погрузке сжиженного газа в вагоны на заводе, сменился совершенно другим химическим запахом. Судя по всему, такая вонь теперь будет в городе постоянной при розе ветров с сторону Усть-Кута с ИЗП. Насколько она вредна для здоровья, можно будет узнать через какое-то время, оценив состояние здоровья жителей микрорайона Мостоотряд, которые больше всего страдают от этого запаха. В принципе так всегда и было, что пока люди не поднимали тревогу о своем ухудшимся здоровье, власти никак не реагировали на проблему. В Братске например почти вымер от рака целый микрорайон около ЦБК и БРАЗа, и только тогда там построили онкоцентр, а людей отселили из опасной зоны. При сегодняшней власти в Усть-Куте, являющейся ставленниками именно химического завода ИНК, ждать от них хотя бы простого анализа рисков от нового опасного производства, не стоит от слова совсем. Они в этом крайне не заинтересованы, а независимых экологов в стране запретили и объявили нежелательными организациями. Мы конечно попытаемся по своим каналам узнать аналитику по выбросам, но это не быстрый процесс. Пока же жителям города, просто придется иногда дышать химией и верить на слово владельцам химического производства, что все хоть и не полезно, но все же безопасно для здоровья. Ариэль Эмет Специально для «УК24» фото : «УК24» Канал в Телеграмм Наш Инстаграм Страничка в Одноклассник  
528
0
03.02.2026 в 04:59
post-34967 thumbnail

#Топ новостькоррупцияКриминалПроисшествияУсть-Кут

В Усть-Куте у чиновника-педофила застрелился брат

Степан Тышкивский, родной брат чиновника районной администрации Усть-Кута Михаила Тышкивского, обвиненного в педофилии , свел счеты с жизнью   По информации инсайдера из администрации поселка Янталь, предоставленных "УК24" на условиях кофидициальности, стало известно о суициде Степана Тышкивского. По предварительным данным, Степан Тышкивский, водитель главы администрации поселка Янталь, застрелился у себя в гараже в ночь на понедельник. Напомним, что его родной брат Михаил Тышкивский, задержан СК по обвинению в педофилии. Кроме этого, после ареста брата, начали вскрываться подробности преступлений прошлых лет, в том числе и убийств, в которых участвовал Степан Тышкивский. В то же время  его брат Михаил Тышкивский, работавший тогда в правоохранительных органах, помогал скрывать эти преступления и они до последнего времени оставались не раскрытыми. Более подробную информацию о преступной деятельности братьев Тышкивский, мы опубликуем на этой неделе, после проверки всех фактов. Ариэль Эмет Специально для «УК24» фото :  из открытых источников Канал в Телеграмм Наш Инстаграм Страничка в Одноклассник  
6400
0
02.02.2026 в 09:52
post-34957 thumbnail

#Топ новостькоррупцияКриминалПолитикаРегион38Усть-Кут

Приключения профуры на фронте. Экс-чиновницу из Усть-Кута этапировали в Иркутск из Украины

История с привлечением к уголовной ответственности бывшей заммэра города, получила продолжение Как стало известно "УК24", бывшую заместителя главы администрации города Усть-Кута Ольгу Шалакову, привезли из Украины в Иркутск, для проведения следственных действий. Ранее мы писали о том, что после увольнения из городской администрации, Ольга Шалакова устроилась в одно из бюджетных предприятий Иркутска и там попалась на махинациях с финансами. После этого ее привлекли к ответственности и она решила уйти на фронт, выучившись на медсестру. Это ей почти удалось и аферистка отбыла в войска по контракту, но надолго там не задержалась. По запросу следователей СК ее вернули в Иркутск, для предъявления обвинения и последующего суда. Кратко напомним, чем запомнилась Ольга Шалакова устькутянам: "...Поговорка о том, что сколько веревочке не виться, стала актуальной для бывшей устькутской чиновницы Ольги Шлаковой. Ее в 2017 году в Усть-Кут релоцировали из областного центра товарки по бюджетным аферам, из регионального Минфина. Продержалась она у нас ровно до 2021 года и запомнилась не столько как профессионал высокого уровня, а как скандалистка и аферюга. Сразу после приезда в Усть-Кут, Шалакова в хлам разругалась с соседями по квартире, которую ей арендовала городская администрация. Скандал оказался публичным, так как чиновница орала матом на соседей и грозилась мх выселить из приватизированной квартиры, а ее сынуля даже ударил соседку. После этого заместитель главы города решила приватизировать квартирку, но тут об афере узнали мы и подняли шум. Прокуратура проверила факты и обязала городскую администрацию расторгнуть с Шалаковой договор и вернуть квартиру муниципалитету...." Чем закончится эпопея с судом над нашей экс-чиновницей, мы сообщим по мере поступления информации. Ариэль Эмет Специально для «УК24» фото :  из открытых источников Канал в Телеграмм Наш Инстаграм Страничка в Одноклассник    
3865
0
02.02.2026 в 05:12
post-34125 thumbnail

#Топ новостьВойна с УкраинойПолитикаСтранаУсть-Кут

Список погибших в Украине жителей Усть-Кута на 01 февраля 2026 год

Продолжаем ежемесячную публикацию списков погибших в Украине жителей нашего района, а так же сведений о пропавших без вести. Будем обновлять эти данные раз в месяц. Жирным шрифтом и курсором будут выделять фамилии вновь добавлены Военнослужащие заключившие контракт с Министерством обороны России:
  1. Бакулин Сергей Александрович
  2. Олейников Павел Сергеевич
  3. Степанов Владимир Владимирович
  4. Файдуков Илья Александрович 2001 г.р.
  5. Тимкин Иван Валерьевич 1985 г.р.
  6. Дядькин Андрей Владимирович 1975 г.р.
  7. Железняк Олег Степанович 1973 г.р.
  8. Цыба Алексей Александрович 2001 г.р.
  9. Харитонов Анатолий Сергеевич 1979 г.р.
  10. Шестаков Александр Викторович 1991 г.р.
  11. Габелая Заза Зазавич 2001 г.р.
  12. Рыбаков Владислав Игоревич 2001  г.р.
  13. Мартюшов Владимир Николаевич 2000 г.р.
  14. Саклаков Петр Сергеевич 1990 г.р.
  15. Белянин Вячеслав Юрьевич 1975 г.р.
  16. Ветошкин Александр Геннадьевич 1982 г.р.
  17. Давыдов Сергей Викторович 1969 г.р.
  18. Новокрещеной Алексей Викторович 1995 г.р.
  19. Гончаров Виктор 1994 г.р.
  20. Кононенко Александр Николаевич
  21. Злобин Анатолий Алексеевич 1989 г.р.
  22. Салтыков Максим Игоревич 2002 г.р.
  23. Шевченко Андрей Александрович 1998 г.р..
  24. Купчин Алексей Юрьевич 1986 г.р.
  25. Власов Игорь Владимирович 1991 г.р.
  26. Суров Никита Александрович 1999 г.р.
  27. Тумаков Алексей Александрович 1979 г.р.
  28. Ермилов Александр Владимирович 1967 г.р.
  29. Силкин Артем Андреевич 1994 г.р.
  30. Ошурков Антон Васильевич 1994 г.р.
  31. Петухаев Геннадий Юрьевич 1975 г.р.
  32. Соболевский Степан Андреевич 1993 г.р.
  33. Паплюга Вячеслав Михайлович 1975 г.р.
  34. Мошкин Евгений Юрьевич 1977 г.р.
  35. Шага Анатолий Анатольевич 1981 г.р.
  36. Салахов Арсен Абдуламидович 1969 г.р.
  37. Сипко Александр Валерьевич 1985 г.р.
  38. Раков Вадим Михайлович 1993 г.р.
  39. Фридман Александр Артурович 2001 г.р.
  40. Перфильев Алексей Юрьевич 1980 г.р.
  41. Салюк Никита Геннадьевич 1991 г.р.
  42. Учеваткин Георгий Иннокентьевич 1987 г.р.
  43. Гилястин Рустам Викторович 1977 г.р.
  44. Егоров Василий Александрович 1993 г.р.
  45. Суханов Виталий Сергеевич 1988 г.р.
  46. Таюрский Иван Алексеевич 1978 г.р.
  47. Воротила Артем Николаевич 1982 г.р.
  48. Куклин Владимир Александрович 1987 г.р.
  49. Колесников Дмитрий Петрович 2000 г.р.
  50. Хрулев Александр Анатольевич 1973 г.р.
  51. Москвичев Александр Сергеевич 1993 г.р.
  52. Савичев Дмитрий Николаевич 1991 г.р.
  53. Шкребтиенко Даниил Михайлович 2002 г.р.
  54. Горячев Александр Александрович 1987 г.р.
  55. Караулов Кирилл Александрович 1994 г.р.
  56. Кузин Илья Михайлович 1992 г.р.
  57. Летягин Николай Владимирович 1974 г. р
  58. Ненаших Алексей Викторович 1983 г.р.
  59. Плаксин Владимир  Олегович1994 г.р.
  60. Загибов Ильдус Насихович 1984 г.р.
  61. Николаев Роман Николаевич 1999 г.р.
  62. Раздобреев Геннадий
  63. Куплено Виктор Александрович 1981 г.р.
  64. Саушин Виктор Юрьевич  1990 г.р.
  65. Таюрский Евгений Иннокентьевич 1988 г.р.
  66. Спиридонов Антон Сергеевич 1989 г.р.
  67. Порохоов Денис Евгеньевич 2000 г.р.
  68. Кочетков Алексей Леонидович 1980 г.р.
  69. Пуляевский Василий Валерьевич 1983 г.р.
  70. Марчел Скынтей Емануилович 1972 г.р.
  71. Зубов Юрий Юрьевич  1979 г.р.
  72. Колесниченко Андрей Вячеславович 1968 г.р.
  73.  Ходырев 1Игорь Валерьевич 1970 г.р.
  74. Власов Игорь 1991 г.р.
  75. Серов Андрей Владимирович 1988 г.р.
  76. Силкин Семен Андреевич 1994 г.р.
  77. Шатаев Станислав Русланович 1993 г.р.
  78. Ушаков Максим Олегович 2003 г.р.
  79. Хвостов Евгений Владимирович 1979 г.р.
  80. Гордиевский Максим Сергеевич 1987 г.р.
  81. Лапин Валерий Владимирович 1973 г.р.
  82. Морозов Юрий Васильевич 1997 г.р.
  83. Мордовкин Алексей Андреевич 1989 г. р.
  84. Темников Иван Александрович 2003 г. р.
  85. Головин Сергей Витальевич 1972 г.р.
  86. Кузнецов Евгений Михайлович 1973 г.р.
  87. Концедалов Сергей Юрьевич 1979 г.р.
  88. Блинов Юрий Львович 1972 г.р.
  89. Хорунжий Руслан Николаевич 1981 г.р.
  90. Могилин Юрий Иванович 1968 г.р.
  91. Заруднев Михаил Валерьевич
  92. Александр Найфер 1996 г.р.
  93. Однокурцев Павел Сергеевич 2001 г.р.
  94. Ненашев Алексадр Александрович 1981 г.р.
  95. Панкратьев Александр Иванович 1978 г.р.
  96. Лотков Антон Юрьевич 1982 г.р.
  97. Барахтенко Владимир Сергеевич 1989 г.р.
  98. Сафронов Артем Дмитриевич 1998 г.р.
  99. Силкин Андрей Андреевич 2002 г.р.
  100. Афанасьев Антон Юрьевич 1989 г.р.
  101. Матафонов Антон Павлович 1987 г.р.
  102. Зырянов Артем Александрович 2001 г.р.
  103. Сафонов Егор Андреевич 1999 г.р.
  104. Паплюга Павел Вячеславович 1999 г.р.
  105. Аркуша Алексей Анатольевич 1983 г.р.
  106. Осетров Дмитрий Максимович 1997 г.р.
  107. Аржаев Николай Олегович 1996
  108. Вишневский Сергей Владимирович 1976 г.р.
  109. Таюрский Богдан Сергеевич 1999 г.р.
  110. Хамуев Павел Егорович 1962 г. р.
  111. Кошкарёв Олег Ильич 1981 г. р.
  112. Гусейнов Федор Фиакович 1972 г.р.
  113. Сергеев Николай Александрович 1978 г.р.
  114. Маякин Максим Николаевич 1996 г.р.
  115. Винокуров Артем Николаевич 2003 г. р.
  116. Поломошнов Геннадий Александрович 1984 г.р.
  117. Григорьевских Вячеслав Михайлович 2002 г.р.
  118. Алексеев Константин Владимирович 1997 г.р.
Мобилизованные из запаса военнослужащие:
  1. Кулаков Алексей Витальевич
  2. Могилевич Руслан Георгиевич
  3. Пакулько Виктор Васильевич
  4. Сажин Вячеслав Валерьевич 1990 г.р,
  5. Козельский Денис Геннадьевич 1981 г.р.
  6. Левицкий Григорий Вячеславович 1986 г.р.
  7. Фомин Алексей Романович 1994 г.р.
  8. Морозов Никита Александрович 1996 г.р.
  9. Баскумбаев Алексей Молдабекович 1978 г.р.
  10. Зырянов Алексей Раисович 1977 г.р.
  11. Шендрик Роман Валентинович 1979 г.р.
  12. Бриченко Андрей Александрович 1982 г.р.
  13. Хохлов Игорь Сергеевич 1999 г.р.
  14. Крамник Сергей Владимирович 1983 г.р.
  15. Иванов Алексей Николавевич 1986 г.р.
  16. Толстиков Вячеслав Леонидович 1994 г.р.
  17. Антипин Иван Андреевич 1983 г.р.
  18.  Шутов  Сергей Евгеньевич 2000 г.р.
  19. Барахтенко Олег Иванович 1978 г.р.
  20. Мелентьев Павел Викторович 1984 г.р.
  21. Белозерцев Никита Павлович 1989 г.р.
  22.  Корнейчук Валерий Александрович 1978 г.р.
  23. Антипин Алексей Александрович 1989 г.р.
  24. Лобынцев Сергей Владимирович 1980 г.р.
  25. Ефимов Владимир Александрович 1983 г.р.
  26. Шамкин Виталий Михайлович 1980 г.р.
  27. Зверев Роман Александрович 1977 г.р.
  28. Лютиков Евгений Сергеевич 1989 г.р.
  29. Бабин Евгений Борисович 1992 г.р.
  30. Антипин Алексей Геннадьевич 1982 г.р.
  31. Скуратов Константин Федорович 1974 г.р.
  32. Дроздов Валерий Юрьевич 1995 г.р.
  33. Быков Михаил Александрович 1980 г.р.
  34. Чугунов Антон Геннадьевич 1985 г.р.
  35. Мананков Олег Сергеевич 1978 г.р.
  36. Дубовик Сергей Владимирович 1975 г.р.
  37. Коркин Владимир Валерьевич 1983 г.р.
  38. Григорьев Валерий Валерьевич 1984 г.р.
  39. Крамаренко Сергей Юрьевич 1981 г.р.
  40. Бударин Александр Игоревич 1990 г.р.
  41. Красноштанов Роман Евгеньевич 1990 г.р.
  42. Лунегов Сергей Павлович
  43. Червиевский Денис Григорьевич 1987 г.р
  44. Смертеев Семен  Петрович 1990 г.р.
  45. Солодов Александр Анатольевич 1983 г.р.
  46. Гриднев Денис Сергеевич 1978 г.р.
  47. Таюрский Александр Викторович 1975 г.р.
  48. Семидельский Владимир Николаевич 1978 г.р.
  49. Слепцов Александр Сергеевич 1986 г.р.
  50. Вилков Андрей Иванович 1988 г.р.
  51. Дудник Сергей Александрович
  52. Кошкарев Максим Павлович 1978 г.р.
  53. Назаров Денис Александрович 1993г.р.
  54. Чупров Александр Сергеевич 1989 г.р.
  55. Липских Александр Георгиевич 1978 г.р.
  56. Тирский Денис Михайлович 1971 г.р.
Наемники, заключившие контракт с ЧВК Вагнер:
  1. Барахоев Леонид Иннокентьевич
  2. Бушмакин Максим Сергеевич
Заключенные, завербованные ЧВК Вагнер из колоний ФСИН:
  1. Архипов Сергей Александрович
  2. Вейс Владимир Владимирович
  3. Ермилов Александр Сергеевич
  4. Курбанов Сенан Камран оглы
  5. Потапов Вадим Сергеевич
  6. Старцев Алексей Олегович
  7. Степанов Евгений Александрович 1986 г.р.
  8. Таюрский Алексей Геннадьевич
  9. Хартиков Дмитрий Владимирович 1981 г.р.
  10. Колесов Денис Андреевич 1998 г.р.
  11. Геннадий Гербольд 1978 г.р.
  12. Трусков Алексей Анатольевич
  13. Метрус Руслан Сергеевич 1984 г.р.
Заключенные, завербованные из колоний ФСИН в «Шторм-Z»:
  1. Сафронов Михаил Сергеевич 1985 г.р.
  2. Бурундуков Владимир Андреевич 2001 г.р.
  3. Кардаев Рахман Магомедович 1982 г.р.
  4. Горячкин Владимир Андреевич 1987 г.р.
  5. Тихонов Александр Павлович 1987 г.р.
  6. Хайсаров Олег Владимирович 1999 г.р.
Итого на сегодняшний день документально зафиксирована гибель 195 жителей Усть-Кутского района, во время боевых действий на территории Украины. К сожалению, это не полный список погибших и редакция располагает данными еще на 4 жителей нашего района, которые числятся пропавшими без вести. Плюс нет никаких данных  о многих заключенных из ФСИН, завербованных в Шторм-Z  и убывших в подразделения. Где они сейчас неизвестно, но есть большая вероятность, что они погибли и их тела находятся в распоряжении украинской стороны. Мы по своим каналам пытаемся выяснить судьбу всех пропавших без вести устькутян и делаем запросы в официальные органы Украины по каналам коммуникации с волонтерскими структурами и через Красный Крест в Польше. Вполне возможно, что некоторые из пропавших без вести живы и находятся в плену или госпиталях для военнопленных. Напомним, что из Усть-Кута было мобилизовано 238 военнослужащих запаса в сентябре 2022 года, из низ 43 человека ушли добровольцами. Еще 100 человек из Усть-Кута, заключили контракт с Минобороны, по состоянию на 01.01.2025 года Команда «УК24» PS. Если у вас есть информация о погибших устькутянах не указанных у нас в списке, можете написать нам на почту centr_for_ca@mail.ru  и проверив информацию мы пополним список PSS. Редакция «Усть-Кут24» не поддерживает войну с Украиной и считает ее не справедливой и откровенно колониальной. Должностные лица России развязавшие войну, должны предстать перед судом и понести наказание  
1929
0
01.02.2026 в 04:34